牙套妹日記的最終回🙏🏻開始努力美白牙齒🦷
快看我更新了!!!
https://reurl.cc/r8zA31
人生第一次戴牙套這麼重要的決定
不知不覺就倒數了⋯
後面慢慢更新拆牙套心得!
和我最信任又害怕的醫生👨⚕️
還有即將處理牙齒美白的後續分享🥰
📣戴牙套其實也是可以牙齒美白的!
請參考:https://yami520917.pixnet.net/blog/post/309952763-pure純萃美學沙龍
這是我個人的實戰經驗♥️♥️♥️
各位快先來卡一個唄🤗
***********************************
近期拆完牙套後
陸續已經為自己安排了洗牙、補蛀牙等等療程
當然美白牙齒也不能少QQ
不僅是居家美白護理需要
我也會依靠一下值得信賴的美齒專家做定期維護~~~
這次也是回去找PURE純粹美學沙龍做保養 ^^
https://www.facebook.com/Pure%E7%B4%94%E8%90%83%E7%BE%8E%E5%AD%B8%E6%B2%99%E9%BE%8D-108497247169323/
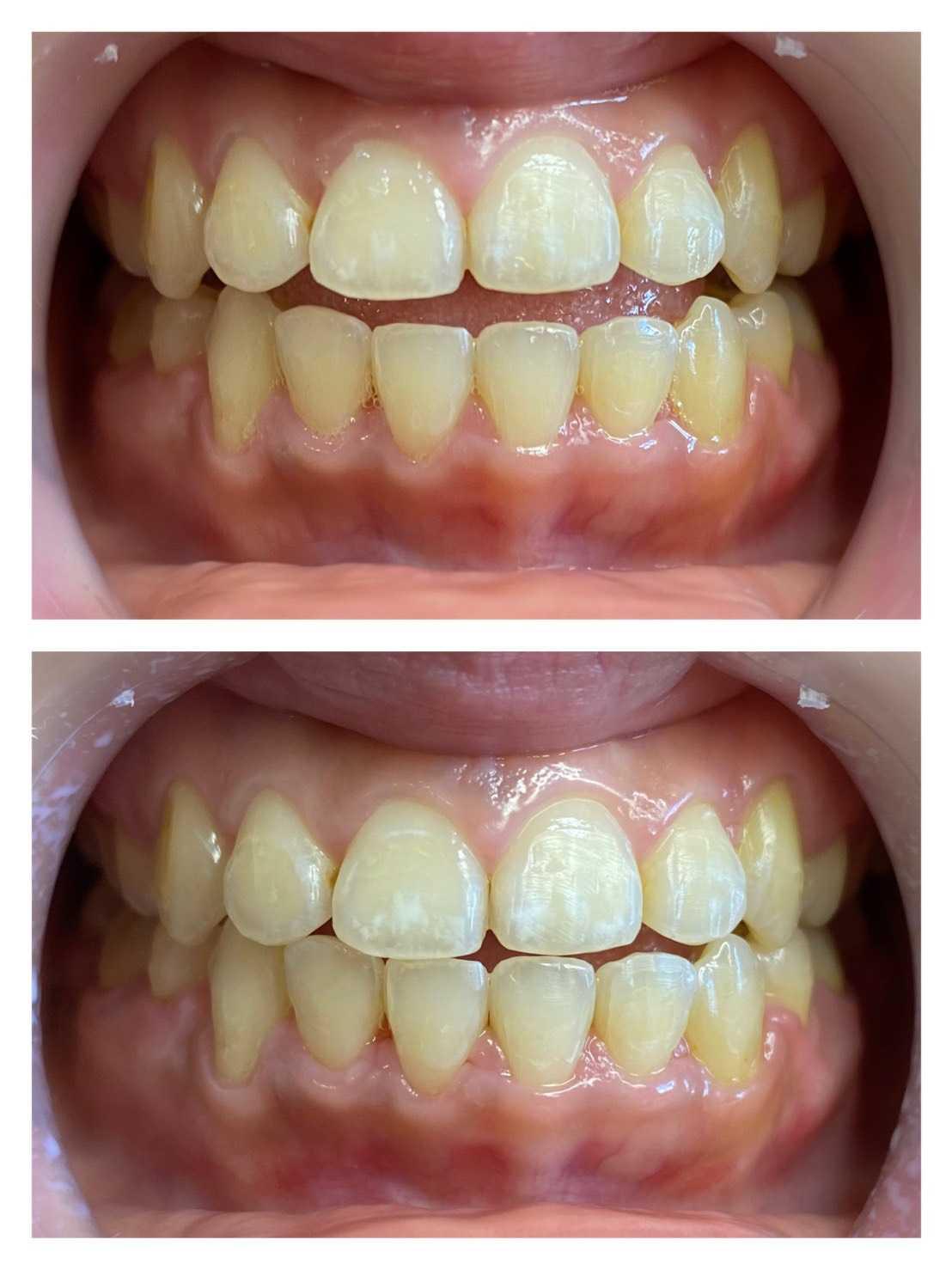
我這次來是剛拆完牙套過了4天
牙齒色階慘不人賭的卡在24 (牙齒色卡的24.....)
不過還好一次療程過後 恢復了4階 比想像中好一點了QQ
每次療程時間都抓在1小時內完成
其實過程真的很快!!! 不過因為店裡客人很多需要招呼
所以填完資料會稍作等待一下是必須的~~~
真正療程花的時間
就只是舒舒服服地坐在按摩椅上閉目養神16分鐘這樣(每次8分鐘)
真的很快速!!!!
而且一個月乖乖來報到一次而已
這保養不僅是美白 還可以預防蛀牙、牙周病、牙結石...
這樣的美齒療程不痛不癢的做,好比之後去看牙醫花錢弄痛自己呀....
附上我第一期美白階段的一口爛黃牙
後續我會在更新的!!
